脑膜炎奈瑟菌检测
发布时间:2022-11-30 浏览次数:3552
脑膜炎奈瑟菌(N. meningitidis)简称为脑膜炎球菌(meningococcus),是一种革兰氏阴性菌,是流行性脑脊髓膜炎(简称流脑)的病原菌。因其所导致的脑膜炎而闻名,亦会造成脑膜炎球菌血症(一种致命性的败血症)。它只感染人类,并无寄生的动物,是唯一令细菌性感染脑膜炎成为流行病的病菌。约10%成人的鼻咽中有它的踪迹。

一、生物学特性
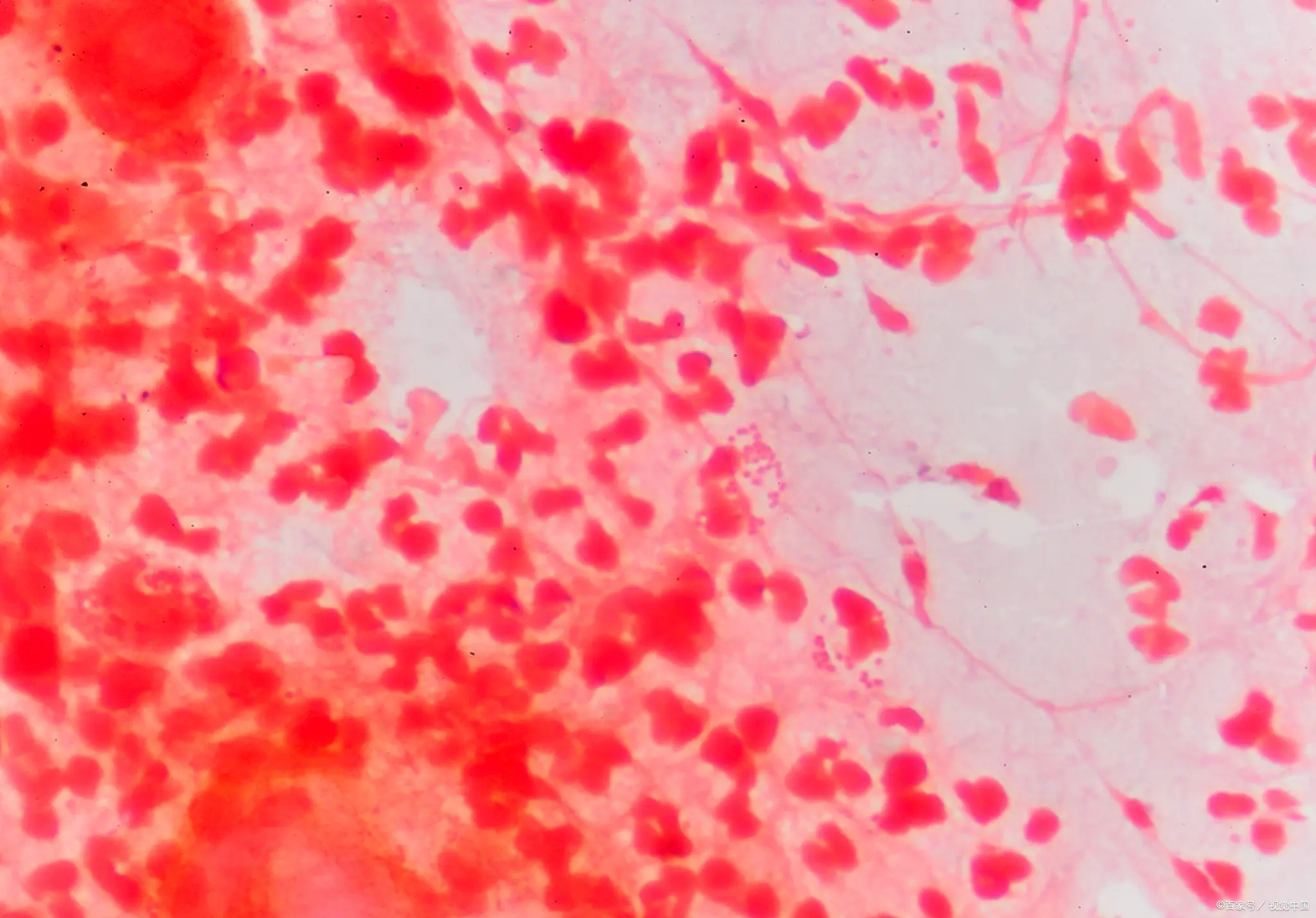
1、形态与染色:为革兰阴性双球菌,菌体呈肾形,成对排列,坦面相对, 菌体直径0.6~1.5μm,在患者的脑脊液中可位于中性粒细胞内、外。无鞭毛,不形成芽胞,有菌毛,新分离菌株有荚膜。
2、培养特性:营养要求高,属苛养菌,必须在含有血清或含有多种氨基酸、无机盐等物质的培养基上生长良好。最适温度为35 ~37℃ ,最适pH为7.4~7.6。
3、生化反应:绝大多数菌株能分解葡萄糖和麦芽糖,产酸不产气(因淋病奈瑟菌不分解麦芽糖,借此与之鉴别),不分解乳糖、甘露醇、半乳糖和果糖,硝酸盐还原试验阴性。不分解尿素、不产生H2S和靛基质,触酶试验阳性,氧化酶试验阳性。
4、抗原及分型
主要有四种抗原:荚膜多糖群特异性抗原、外膜蛋白型特异性抗原、脂多糖抗原及核蛋白抗原。根据群特异性荚膜多糖抗原不同,采用凝集反应和琼脂扩散试验可 将本菌分为A、B、C、D、X、Y 、Z、1916、 29E和W135等。
目前,对人致病的主要是A群,偶见B群、C群及1916群引起散发病例。
二、微生物检验
1、标本采集:血液瘀斑渗出液脑脊液鼻咽分泌物。因本菌能产生自溶酶,易自容,故采集的标本不宜置冰箱,应立即送检,35℃保温。
2、检验方法及鉴定
1)直接涂片检查:取脑脊液离心后沉淀物涂片或刺破瘀斑血印片,干燥固定后革兰染色,若发现中性粒细胞内(或胞外)革兰阴性奴球菌,呈肾形成对排列,可初报。
2)分离培养:将标本的葡萄糖肉汤增菌培养液直接接种于血琼脂平板、巧克力琼脂或 EPV琼脂,置5% ~ 10%CO2环境中,35 ~37℃培养18 -24h后可见圆形、灰褐色湿润、光滑、 边缘整齐、直径1~2mm的小菌落,经涂片证实为革兰阴性双球菌,并进一步根据相应的生化反应等试验予以鉴定。
3)鉴定:该菌的鉴定主要通过氧化酶、糖类发酵和血清学等试验。
①细菌染色形态;
②氧化酶试验阳性;
③触酶试验阳性;
④分解葡萄糖、麦芽糖产酸不产气;
⑤荚膜多糖抗原直接凝集试验。
直接镜检形态为革兰染色阴性双球菌时可初报,经分离培养后见菌落特征典型生化反应能力弱,只分解葡萄糖、麦芽糖、产生少量酸,氧化酶试验阳性。血清凝集试验阳性,即可报告“检出脑膜炎奈瑟菌”。
三、核酸扩增法
流行性脑膜炎的临床诊断通常以出现发热、呕吐、头痛等临床症状为依据。进一步的确诊则需在病人脑脊液或急性衄液中分离到脑膜炎双球菌。但分离培养方法的检出阳性率较低。并且至少需要2~3 d才能确诊感染,这对疾病的及时治疗极为不利。此外,受抗生素使用及其他非特异性因素的影响,分离培养法的灵敏度不高,极大地降低了诊断结果的可靠性。因此,寻找一种快速、灵敏并且适用于I临床诊断的检测方法已显得非常需要。
近年来,因为具有特异性好、灵敏度高、检测周期短等优点,在PCR的基础上建立的基因诊断技术已广泛应用于多种病原微生物的临床检测。四川大学华西公共卫生学院联合四川省疾病预防控制中心以PCR技术为基础,结合我国流脑的流行现状,建立了Nm ABC群的快速诊断方法。
四、快速诊断法
依据是脑膜炎患者脑脊液及血清中存在脑膜炎奈瑟菌可溶性抗原。因此可采用已知的抗体检测有无相应的抗原。
1、对流免疫电泳:此法较常规培养法敏感,特异性高。一般1小时内即可得到结果。
2、SPA协同凝集试验:将待检的患者脑脊液或血清与已知脑膜炎奈瑟菌IgG类抗体标记的产生SPA的金黄色葡萄球菌混合。若标本中存在脑膜炎奈瑟菌的可溶性抗原,则使抗体标记的金黄色葡萄球菌聚集在一起,形成肉眼可见的凝集现象。
五、防治原则
预防脑膜炎奈瑟菌感染的关键是要尽快消除传染源、切断传播途径及提高人群免疫力。
我国1980年正式使用A群多糖菌苗,临床观察表明对学龄儿童和成人保护率可达90%。但此种疫苗对2岁以下婴幼儿免疫原性差,其一是因为脑膜炎荚膜多糖抗原属于T细胞非依赖抗原,免疫效果与接种者年龄有明显的依赖关系;其二,多糖菌苗诱导机体产生的IgG抗体主要为IgG2亚类,出现较迟,一般到8~12岁才能上升至成人水平。
因此,婴幼儿接种多糖菌苗后往往以产生短暂的IgM抗体为主。国外采用A群和C群多糖与白喉毒素蛋白偶联的偶联菌苗接种8~10周龄的婴儿,证明这种偶联菌苗具有良好的免疫原性及安全性。
流脑的治疗首选药物为青霉素G,剂量要大。对青霉素过敏者,可用氯霉素或红霉素。
